Array
(
)
1
		

Primary Cells

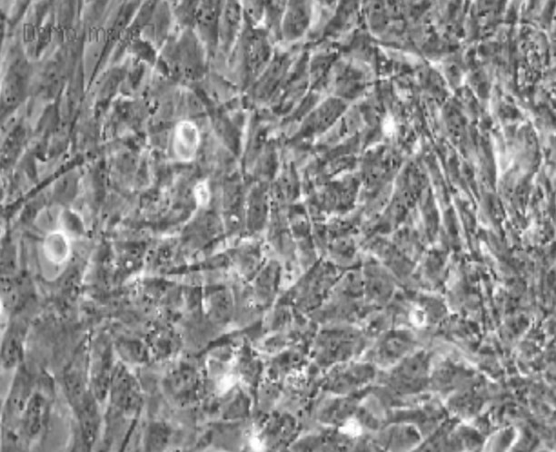
Human Primary Umbilical Artery Endothelial Cells View larger

Human Primary Umbilical Artery Endothelial Cells

HUM-e006

Each vial contains >5x105 cells in 1mL volume

More details

1000 Items

Molarity Calculation Cart®

HOW TO ORDER

$1,148.00

$1,148.00 per 1mL

More info

Cell Details

Glial cells are widely distributed in the central nervous system and are all cells except neurons, which are about ten times more abundant in the central nervous system than neurons. It has the function of supporting and nourishing neurons. Glial cells, like neurons, also have cell bulges, but their cytoplasmic bulges do not distinguish between dendrites and axons. Astrocytes are the largest of the glial cells. A number of long, branched protrusions are emitted from the cell body, which are stretched between the cell bodies of the nerve cells and their processes to support and separate the nerve cells.

Cell Characteristics

1) Tissue is derived from normal human brain tissue.

2) Cell identification: glial fibrillary acidic protein (GFAP) immunofluorescence staining.

3) The purity of the identified cells is higher than 90%.

4) Does not contain HIV-1, HBV, HCV, mycoplasma, bacteria, yeast and fungi.

5) Cell growth mode: spindle cells, adherent culture.

Transportation and Preservation

Depending on the weather conditions and the distance of transportation, the company negotiates with the customer and chooses one of the following methods.

1) 1mL of frozen cell suspension is placed in a 1.8mL cryotube and placed in a foam incubator filled with dry ice for transport; after receiving the cells, thaw the resuscitated cells as soon as possible for culture. If resuscitation is not possible immediately, Cryopreserved cells can be stored at -80°C for 1 month.
2) T-25 culture flask is filled with complete medium and then transported at room temperature. After receiving the cells, please observe the growth state of the cells under a microscope. If the bottle filling rate exceeds 85%, please carry out the subculture immediately. If there are more cells in suspension, allow the flask to stand overnight in the incubator to help the undead suspension cells to reattach.

Product Use

1) This product can only be used for scientific research 
2) This product has not passed the audit for living animals and humans directly. 
3) This product has not passed the audit for in vivo diagnosis.