Array
(
)
1
		

Primary Cells

Human Primary Mammary Epithelial Cells View larger

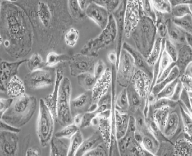
Human Primary Mammary Epithelial Cells

HUM-f006

Each vial contains >5x105 cells in 1mL volume

More details

1000 Items

Molarity Calculation Cart®

HOW TO ORDER

$1,350.00

$1,350.00 per 1mL

More info

Cell Details

The mammary duct is located in the subcutaneous tissue of the chest and is one of the main constituent tissues of the breast. It is also the drainage duct of the milk. The main function of the mammary duct is the excretion and storage of milk. 

Each breast leaf has a lactiferous duct that forms an enlarged input sinus at the proximal nipple, which is tapered and opens at the nipple. The mammary gland is divided into 15-25 leaves by connective tissue, and each leaf is divided into several leaflets, each of which is a complex vesicular gland. The acinar epithelium is a single layer of cubic or columnar, and the catheter includes an intralobular duct, an superior duct, and a general duct. The intralobular ducts are mostly single-layer columnar or cubic epithelium. The interlobular ducts are multi-layered columnar epithelium. The main duct is also called the lactiferous duct. It is open to the nipple, the tube wall is a stratified flat epithelium, and the lower nipple epidermis continues. 

Cell Characteristics

1) Cells are derived from human normal breast tissue. 
2) Cell identification: Cytokeratin (PCK) immunofluorescence staining was positive. 
3) The purity of the identified cells is higher than 90%. 
4) Does not contain HIV-1, HBV, HCV, mycoplasma, bacteria, yeast and fungi. 
5) Cell growth mode: epithelioid, polygonal cells, adherent culture.

  

Transportation and Preservation

Depending on the weather conditions and the distance of transportation, the company negotiates with the customer and chooses one of the following methods.

1) 1mL of frozen cell suspension is placed in a 1.8mL cryotube and placed in a foam incubator filled with dry ice for transport; after receiving the cells, thaw the resuscitated cells as soon as possible for culture. If resuscitation is not possible immediately, Cryopreserved cells can be stored at -80°C for 1 month.
2) T-25 culture flask is filled with complete medium and then transported at room temperature. After receiving the cells, please observe the growth state of the cells under a microscope. If the bottle filling rate exceeds 85%, please carry out the subculture immediately. If there are more cells in suspension, allow the flask to stand overnight in the incubator to help the undead suspension cells to reattach.

Product Use

1) This product can only be used for scientific research 
2) This product has not passed the audit for living animals and humans directly. 
3) This product has not passed the audit for in vivo diagnosis.